
患者:女,26岁,孕12周
主诉:牙龈肿痛三天
病史:患者诉三天前自觉牙龈肿涨、疼痛,偶尔伴少量出血,因怀孕不敢吃药,自用盐水漱口,无明显好转,前来就诊。
检查:牙龈组织水肿,呈深红色,龈缘变厚,龈乳头圆钝肥大、发亮,探诊有少量出血,龈沟无溢脓。
诊断:妊娠期牙龈炎
【治疗方案】
1.首先嘱患者用生理盐水漱口。
2.用棉签蘸取适量志鸿臭氧无痕均匀涂抹在患者牙龈处,再把臭氧无痕滴在棉球上,塞在牙龈处嘱患者咬住,含30分钟后吐出棉球,一日两次。
3.嘱患者保持口腔清洁,勤刷牙,选择软毛牙刷。多食富于维生素C的新鲜水果和蔬菜,或口服维生素C片剂,以降低毛细血管的通透性。
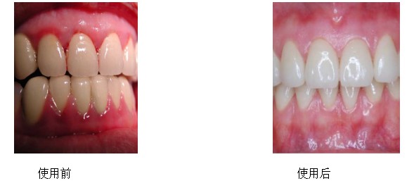
【治疗效果】
治疗当天,患者诉牙龈肿痛减轻了,治疗第二天,患者牙龈肿痛明显减轻,牙龈基本不出血了,巩固治疗两天结束治疗。
【治疗小结】
妊娠期龈炎一般在怀孕后2至4个月出现,妊娠期孕后内分泌平衡失调,体内激素水平改变,雌、孕激素增多,使牙龈血管发生变化,因此容易造成牙面沉积斑,牙面压迫牙龈缘,使牙龈红肿或形成龈瘤样的改变,而加重牙龈炎症。因此要注意口腔卫生,重视自我口腔保健。
很多孕妇患牙龈炎后不敢乱吃药,而通过臭氧抗菌剂局部用药治疗,消炎杀菌,安全有效,无副作用。

18627930065
在线咨询
微信二维码

返回顶部